19. November 2025
- Philippe Selot

- 19. Nov. 2025
- 3 Min. Lesezeit
Heute Nachmittag hatte ich meinen Termin beim Chirurgen, um das gesamte Team kennenzulernen, das an meiner Fussoperation beteiligt sein wird. Eine richtige Expertenrunde: der Neurochirurg, der Gefässchirurg, ein Professor aus Basel – eine anerkannte Koryphäe in der Fusschirurgie –, der Leiter der Orthopaedie des Krankenhauses, in dem ich operiert werde, mein Chirurg selbst sowie ein Assistenzchirurg aus Mailand, der gerade ein Praktikum absolviert. Wenn ein solches Team geschlossen Grünlicht für meine achte Operation gibt, fühlt man sich wirklich in guten Händen… auch wenn das eine Menge weisser Kittel in einem einzigen Raum sind. Da fragt man sich unwillkürlich, ob sie in dem Operationssaal überhaupt alle Platz finden werden!
Nach den Vorstellungen haben wir uns den aktuellen Zustand meines Fusses angesehen. Die Spezialisten diskutierten untereinander die einzelnen Schritte der Operation und tauschten in beeindruckender Geschwindigkeit Fachbegriffe aus. Ich habe nicht alles verstanden, aber das Wichtigste ist: sie wissen genau, was zu tun ist. Und das reicht mir vollkommen.
Dann ging es um den Zeitplan. Ursprünglich war die Operation für den 1. Dezember geplant, wurde aber aufgrund der Verfügbarkeit der verschiedenen Fachleute auf den 15. Dezember verschoben. Begeistert bin ich darüber nicht, ich hatte mich mental auf den 1. eingestellt, und die Ungeduld wird langsam grösser. Aber gut, es ist wie es ist. Weniger erfreulich ist ausserdem, dass ich kurz vor Weihnachten aus dem Krankenhaus entlassen werde. Und falls es wider unerwartete Komplikationen geben sollte, was niemand hofft, verbringe ich Weihnachten womöglich im Krankenhaus. Nicht gerade die Atmosphäre mit Kaminfeuer und Weihnachtsbaum, die ich mir vorgestellt hatte.
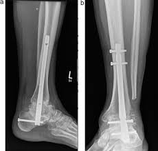
Am Tag selbst werde ich am Morgen aufgenommen, dann folgt eine Blutentnahme und das Gespräch mit der Anästhesie. Um 13:00 Uhr beginnt die Operation, die mehrere Stunden dauern wird. Geplant ist ein retrograder tibio-talocalcanealer Nagel (TTC). Konkret bedeutet das, dass eine Titanstange vom Fersenbein bis zum Schienbein eingesetzt wird, um die Stabilität zu sichern. Die beiden betroffenen Gelenke, das untere Sprunggelenk (USG) und das obere Sprunggelenk (OSG), werden dauerhaft versteift. Die Beweglichkeit der Sprunggelenke ist damit weg, aber da ich seit über einem Jahr ohnehin nicht mehr abrollen kann, wird die Umstellung weniger drastisch ausfallen, als es klingt.
Der Fuss wird neu positioniert, und der Raum, in dem einst mein Sprunggelenk war, das durch die Staphylokokken-Infektionen praktisch zerstört wurde, wird mit Knochenmaterial aufgefüllt. Dieses wird entweder aus meinem Becken entnommen oder, falls nötig, aus einer Knochenbank bezogen. Eigenknochen hat den Vorteil, dass mein Körper ihn in der Regel besonders gut akzeptiert, kein Risiko eines “biologischen Missverständnisses”.
Die Operation ist komplex, aber das Team ist erfahren und hoch spezialisiert. Danach warten mindestens zwölf Wochen Gips auf mich, bevor ich in den orthopädischen Schuh wechseln kann, den ich bereits bei einer vorherigen Operation erhalten habe. Anschliessend beginnt die Rehabilitation. Wenn alles nach Plan verläuft, sollte ich den Frühling wieder halbwegs mobil erleben können.
Bevor ich nach Hause ging, habe ich die Einverständniserklärung unterschrieben, in der bestätigt wird, dass ich über alle Risiken informiert wurde, darunter auch die Möglichkeit einer Amputation. Als nächstes erhalte ich die Vorab-Fragebögen des Krankenhauses: einen allgemeinen und einen spezifischen für die Anästhesie. Es bleibt also noch ein wenig Geduld gefragt, bevor der grosse Tag kommt.
Und zum Schluss noch ein paar Worte über Deniz, der kurdischen Flüchtling Kollegen. Er hat gerade seine ersten Prüfungen hinter sich und sie mit Bravour bestanden: Im Durchschnitt lag er fünf Punkte über dem Klassendurchschnitt. Eine bemerkenswerte Leistung, besonders wenn man bedenkt, dass er als Einziger in seiner Gruppe direkt in diese Ausbildung eingestiegen ist, während alle anderen bereits eine abgeschlossene Pflegeausbildung haben.
Gestern musste er dann seine erste intravenöse Blutentnahme durchführen. Die Aufgabe war für ihn schon so aufregend genug, aber er musste sie auch noch an einem unterrichtenden Arzt durchführen. Trotz des Drucks blieb er konzentriert, atmete tief durch… und stach zu. Auf Anhieb! Das Blut floss genauso, wie es sollte, und er konnte gleich zwei Röhrchen ohne jede Komplikation füllen. Währenddessen verwandelten andere Studierende ihre Versuche eher in ein kleines Schlachtfeld!









Kommentare